Medical imaging

Imaging of the human lung – visualizing drug efficacy

Newly developed methods using magnetic resonance imaging (MRI) open up new possibilities

Fraunhofer ITEM scientists examine a study participant at the CRC Hannover by magnetic resonance imaging (MRI).
© Fraunhofer ITEM
Noninvasive diagnostic imaging procedures such as magnetic resonance imaging (MRI) examinations are far less stressful for study participants.

Our newly developed magnetic resonance imaging (MRI) methods enable future study designs that include not only efficacy evaluation of drug candidates by means of a non-invasive method, but also monitoring of the course of action over time. The methods that have been used so far, namely bronchoscopy and induced sputum, sometimes cannot be applied repeatedly, so that generation of this valuable additional information has been impossible to date. Furthermore, the new methods enable space-resolved insights into the course of the inflammatory process. Previously available methods were able to capture only the overall inflammation severity without spatial resolution.

Visualizing drug efficacy

Development of a new drug requires the safety and efficacy of the drug candidate to be demonstrated in clinical trials in man, before the drug can be finally approved for commercialization. Respiratory diseases such as bronchial asthma and chronic obstructive pulmonary disease (COPD) feature chronic inflammation of the airways. This is why drug development efforts in these therapeutic areas have focused in particular on substances holding promise for an anti-inflammatory effect.

The possibility to measure the strength of a drug candidate’s anti-inflammatory action, therefore, is of pivotal importance to enable reliable assessment of its efficacy. In addition, details on the temporal course of action and strength provide valuable information for the evaluation of drug dosage and frequency of administration.

Besides methods for controlled induction of inflammatory responses in human volunteers, for example by allergen, endotoxin, or ozone challenge tests, the scientists have at their disposal a multinuclear MRI system including fluorine and xenon coils that is used for research only, as well as a xenon polarizer.
© Fraunhofer ITEM
Besides methods for controlled induction of inflammatory responses in human volunteers, for example by allergen, endotoxin, or ozone challenge tests, the scientists have at their disposal a multinuclear MRI system including fluorine and xenon coils that is used for research only, as well as a xenon polarizer.
Examination of a study participant by bronchoscopy
© Fraunhofer ITEM
Examination of a study participant by bronchoscopy
Magnetic resonance imaging (MRI) examination of a study participant in a clinical trial at Fraunhofer ITEM.
© Fraunhofer ITEM
Magnetic resonance imaging (MRI) examination of a study participant in a clinical trial at Fraunhofer ITEM.

Non-invasive examinations or challenge tests represent a valuable complementary option

The degree of the inflammation so far has been determined primarily via samples collected from patients’ airways or lungs. To this end, either coughing was induced for sputum collection (induced sputum) or bronchoscopy was performed to collect cells from the lungs by means of brush biopsies or lung lavage. Performance of these examinations can be perfectly safe and they provide important information about the cellular composition and cell activation status in the airways and lungs; however, they also put a certain strain on study participants, so that methods involving no invasive examinations or challenge tests for sample collection represent a valuable complementary option for efficacy testing of pharmaceuticals.

Magnetic resonance imaging (MRI) is one such non-invasive method, used to generate images of the human lung. The aim of current research activities is to improve the imaging technology, so as to enable visualization not only of the lung’s structure, but also of inflammatory processes. Airway inflammation involves an influx of liquid into the lung tissue, reduced local ventilation and blood flow, and diminished gas exchange in the lung tissue. By further development of the traditional MRI technology, diagnostic imaging of these processes is possible with magnetic resonance imaging methods. In addition to the classical proton-based sequences, functional examination sequences are used in particular. Furthermore, methods are being developed that enable contrast enhancement in the lungs by means of a gaseous contrast agent, instead of using the traditional proton-based MRI technology.

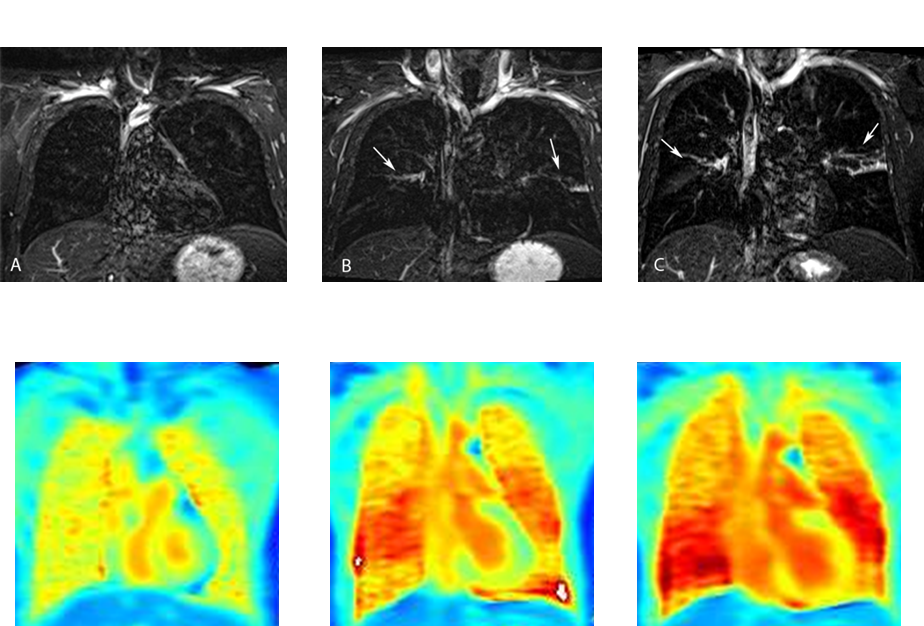
Successful method: visualization of the inflammatory response by magnetic resonance imaging (MRI)

Imaging of local inflammation severity by means of a turbo-inversion recovery magnitude (TIRM) sequence (upper panel) and by oxygen-enhanced T1-mapping (lower panel) in a patient with bronchial asthma prior to (A, left images), 6 hours after (B, middle images) and 24 hours after segmental allergen challenge (C, right images).
© Fraunhofer ITEM
Imaging of local inflammation severity by means of a turbo-inversion recovery magnitude (TIRM) sequence (upper panel) and by oxygen-enhanced T1-mapping (lower panel) in a patient with bronchial asthma prior to (A, left images), 6 hours after (B, middle images) and 24 hours after segmental allergen challenge (C, right images).

We were able to demonstrate that allergen challenge of patients with bronchial asthma induces airway inflammation that can also be visualized by MRI technology. Patients with mild bronchial asthma were challenged by local instillation of allergen during bronchoscopy, a method referred to as segmental allergen challenge, inducing a local inflammatory response in the lung. Repeated MRI scans were then performed using different sequences, and the degree of the inflammation was evaluated both by image analysis and in the traditional way by inflammatory cell count in lung lavage fluid. The results showed excellent agreement between the severity of the inflammation as determined by image analysis and the degree of the inflammation derived from the inflammatory cell count [1, 2].

The already established and available proton-based methods will be further refined and enhanced in the future. To this end, the scientists are developing imaging sequences enabling quantification of local ventilation, blood flow, and gas exchange after administration of gaseous contrast agents. The CRC Hannover offers an unrivaled infrastructure and setting for this development work: ideal methodological conditions for performing such experiments and thus for developing methods that will enable inflammation imaging by MRI, in conjunction with combined expert knowledge potentiated by the close collaboration of Fraunhofer ITEM scientists and radiologists of the Hannover Medical School.

 

  1. Vogel-Claussen J, Renne J, Hinrichs J, Schönfeld C, Gutberlet M, Schaumann F, Winkler C, Faulenbach C, Krug N, Wacker FK, Hohlfeld JM. Quantification of pulmonary inflammation after segmental allergen challenge using turbo-inversion recovery-magnitude magnetic resonance imaging. Am J Respir Crit Care Med. March 15, 2014; 189 (6): 650-7
  2. Renne J, Hinrichs J, Schönfeld C, Gutberlet M, Winkler C, Faulenbach C, Jakob P, Schaumann F, Krug N, Wacker F, Hohlfeld JM, Vogel-Claussen J. Noninvasive quantification of airway inflammation following segmental allergen challenge with functional MR imaging: a proof of concept study. Radiology. Jan 2015; 274 (1): 267-75

Contact

Jens Hohlfeld

Contact Press / Media

Prof. Dr. Jens Hohlfeld

Division Director Airway Research

Phone +49 511 5350-8101